About Me
Hi there! I'm Waleed Bin Tahir, an AI engineer fueled by a passion for Artificial Intelligence and its potential to revolutionize various industries. My expertise lies in applying machine learning and deep learning techniques to solve real-world problems and create impactful AI solutions.
My Tech Stack
Publications
Leveraging Large-Scale Public Data for Artificial Intelligence-Driven Chest X-Ray Analysis and Diagnosis
F. K. Khan, W. B. Tahir, M. S. Lee, J. Y. Kim, S. S. Byon, S.-W. Pi, and B.-D. Lee
Diagnostics, vol. 16, no. 1, art. 146, 2026
View on MDPIContextVecNet: A Context-Driven Multimodal Learning Framework for Depression Detection
W. B. Tahir, S. Khalid, S. Alshahrani, S. S. Alharbi, and H. F. Alhasson
IEEE Journal of Biomedical and Health Informatics, pp. 1-12, 2025
View on IEEE XploreDepression Detection in Social Media: A Comprehensive Review of Machine Learning and Deep Learning Techniques
W. B. Tahir, S. Khalid, S. Almutairi, M. Abohashrh, S. A. Memon, and J. Khan
IEEE Access, vol. 13, pp. 12789-12818, 2025
View on IEEE XploreProjects
RadiologyGPT
Developed an advanced AI system for chest radiograph analysis and report generation.
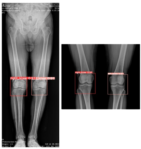
Knee Detection
Trained a versatile YOLOv8 model for knee detection on both full and cropped scanogram images.
Synthetic Knee Images Generation
Used GANs to generate synthetic knee images with various Kellgren-Lawrence (KL) grades.
Anomaly Detection
Used SOTA models like Cflow and DiffusionAD to find anomalies in PCB classes from the VisA Dataset.
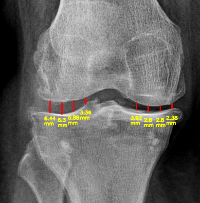
Calculating JSN
Developed an algorithm for calculating and visualizing Joint Space Narrowing (JSN) in knee images.
Any2English
A multi-lingual video to English dubbing tool with lip-syncing capabilities.
AI Worker
A Flask app for AI data processing and communication with a PACS Marketplace via RESTful APIs.
AI Demo Website
An interactive demo website for a Medical AI application using React and Java Spring Boot.
Marketing Website
A React-based marketing website for an AI service, featuring demo requests and contact forms.
Get In Touch
Are you in need of a high-performance and intuitive AI system to enhance your product or business? Seeking expert consultation or have burning questions about AI technology? Or simply want to connect and say "Hi 👋"? Whatever your needs, don't hesitate to reach out. I'm here to assist you every step of the way. Feel free to drop me an email for the fastest response. Let's bring your AI vision to life!
Say Hello